目錄
診所介紹
瑞健地圖
醫師介紹
醫療設備
健康檢查
健保:預防保健檢查
成人預防保健檢查
健保:預防保健檢查 / 健保:婦女子宮頸抹片檢查
免費:台中市老人健檢
自費:全身健檢
汽機車駕照體檢
掛號服務
門診時間
掛號時間
診療科別
諮詢服務
Instagram
Facebook 發問
電話諮詢
網路影片
Epley 右側耳石鬆脫徒手復位術
乳房自我檢查影片
如何打出又高又遠的高爾夫球
網路相簿
醫學影像..腹部超音波 :膽囊
膽囊腫瘤
膽結石
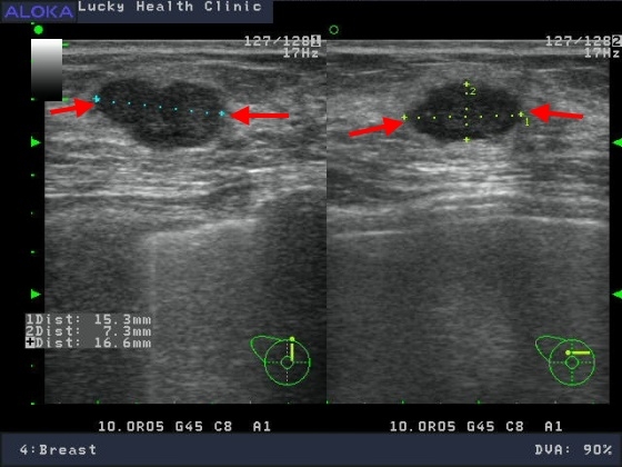
醫學影像..乳房超音波
攝影集錦
分類 4:懷疑不正常,惡性度 2%~95%(建議切片)
回上頁
下一則
上一則
網路相簿
醫學影像..腹部超音波 :肝臟
醫學影像..腹部超音波 :膽囊
醫學影像..腹部超音波 :胰臟
醫學影像..腹部超音波 :腎臟
醫學影像..腹部超音波 :脾臟
醫學影像..腹部超音波 :腎上腺
醫學影像..乳房超音波
醫學影像..甲狀腺超音波
醫學影像..其他部位超音波
醫學影像..免散瞳眼底攝影
醫學影像..X光影像
瑞健聯誼會活動
糖尿病衛教活動
攝影集錦
員工生活照