資料庫指令錯誤

醫學影像..免散瞳眼底攝影, 瑞健診所 -- 糖尿病.高血壓.腹部超音波.肝癌篩檢.乳房超音波.乳癌篩檢.超音波導引關節注射.膝關節玻尿酸注射
目錄
  • 診所介紹
  • 瑞健地圖
  • 醫師介紹
  • 醫療設備
  • 健康檢查
    • 健保:預防保健檢查
      • 成人預防保健檢查
      • 健保:預防保健檢查 / 健保:婦女子宮頸抹片檢查
    • 免費:台中市老人健檢
    • 自費:全身健檢
    • 汽機車駕照體檢
  • 掛號服務
    • 門診時間
    • 掛號時間
  • 診療科別
  • 諮詢服務
    • Instagram
    • Facebook 發問
    • 電話諮詢
  • 網路影片
    • Epley 右側耳石鬆脫徒手復位術
    • 乳房自我檢查影片
    • 如何打出又高又遠的高爾夫球
  • 網路相簿
    • 醫學影像..腹部超音波 :膽囊
      • 膽囊腫瘤
      • 膽結石
    • 醫學影像..乳房超音波
    • 攝影集錦

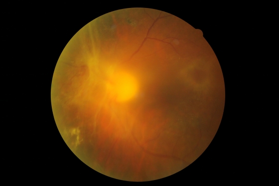
醫學影像..免散瞳眼底攝影

8kN

其他

quvu

HTNR(高血壓性視網膜病變)

Μsu

Advanced PDR(晚期糖尿病眼疾)

\Vտ

PDR(增生性糖尿病視網膜病變)

~W

PPDR(增生前糖尿病視網膜病變)

Vwi޺s

BDR(背基型糖尿病視網膜病變)

\7}oG

正常眼底

  • 回上頁
  • 下一則
  • 上一則

網路相簿

  • 醫學影像..腹部超音波 :肝臟
  • 醫學影像..腹部超音波 :膽囊
  • 醫學影像..腹部超音波 :胰臟
  • 醫學影像..腹部超音波 :腎臟
  • 醫學影像..腹部超音波 :脾臟
  • 醫學影像..腹部超音波 :腎上腺
  • 醫學影像..乳房超音波
  • 醫學影像..甲狀腺超音波
  • 醫學影像..其他部位超音波
  • 醫學影像..免散瞳眼底攝影
  • 醫學影像..X光影像
  • 瑞健聯誼會活動
  • 糖尿病衛教活動
  • 攝影集錦
  • 員工生活照

更多資訊在 Follow Us on

地址: 台中市北屯區興安路一段341號 /  (04) 2241-6859

© Copyright 2005 - 2019 瑞健診所. All Rights Reserved.